
肺是放射线敏感器官,放射性肺炎(Radiation Peumonitis,RP)是肺部一年内接受过放疗的患者,出现持续 2 周以上咳嗽、呼吸困难等肺部症状,同时肺部影像学示与照射野一致的片状或条索状阴影。
RP是由炎性因子介导的急性自发性免疫样反应,是一种淋巴细胞性肺泡炎。常发生于肺癌、乳腺癌、食管癌、恶性胸膜间皮瘤患者放疗后。
急性 RP 通常发生在放疗后 1~3 个月,化疗后放疗的患者可发生在放疗中或即将结束的时候。肺的后期放射性损伤主要表现为肺组织纤维化,多发生于照射后 6 个月左右。
放射性肺炎早中晚期 CT 表现

图 1 右侧乳癌术后放疗 RP:早期表现为照射野内散在的小片状磨玻璃样影、密度淡薄、边缘模糊。

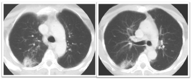
图 2 中期表现为不按肺叶、肺段分布的肺实变,其内可见有支气管充气征,肺泡囊、小叶间隔增厚,部分边缘整齐、部分边缘呈星状,可超出放疗照射野。

图 3 晚期表现为照射野内长条状、 大片状密度增高影,边缘锐利呈「刀切状」,同侧胸膜增厚,支气管、 肺门、 纵隔、 横膈牵拉移位等肺容积缩小改变。
首选糖皮质激素治疗
怀疑 RP 者,可雾化吸入激素。有症状者,推荐强的松 1 mg/(kg·d)。激素治疗对放射性肺纤维化效果差,因为激素治疗的机制是抗炎和免疫抑制,可减少渗出、减少促纤维化因子产生,无法改善已经形成的纤维化病变。
>>糖皮质激素的分类
短效(8~12 小时):氢化可的松(皮质醇,人体每日分泌 15~25 mg)、可的松
中效(12~36 小时):强的松(泼尼松)、强的松龙(泼尼松)、甲强龙(甲基泼尼松龙)
长效(36~54小时):地塞米松、倍他米松
各种糖皮质激素的剂量如何等量换算?在肿瘤时间对话框回复口令「GC」即可获取简易换算公式。

>> 如何用药?
治疗原则:即时、足量、足够时间的激素使用。
小剂量治疗效果不佳,可致病程延长。放射治疗后,脾细胞糖皮质激素受体表达下调,因此需要足量激素。
一般来说,咳嗽、气促症状 2 周,结合胸部放疗史和影像学改变,是给予激素治疗最好的时机。
急性期 RP:强的松 30~60 mg/d 或地塞米松 16~20 mg/d,可在 24~48 小时内迅速缓解症状体征,改善后逐渐减量 10~15 mg/d,总疗程 3~8 周左右。
对激素治疗敏感的患者,可采用短程(2 周)甲强龙 20~40 mg 冲击治疗,及时有效的改善肺渗出。
此外,有研究显示采用雾化吸入方式,创伤小、肺部继发感染率和睡眠障碍率更低。
>> 何时撤药?
一般症状体征得到控制后就应该停药了,而何时停药是个头疼的问题,过快停药可使症状体征出现「反跳现象」,有些医生因为担心反跳而撤药过于缓慢,进而患者病程又延长,感染风险增高。
初始剂量,强的松 20~66.7 mg/d,维持( 2 周左右)到缓解后减量停药。
激素减量可遵循「先快后慢」的原则:
如强的松冲击治疗可直接减至 1 mg/(kg·d);初始剂量为 60 mg/d,可直接减至 40 mg/d,然后 1~2 周减少原剂量的 10% 或 5 mg,当剂量小于 7.5 mg/d 后方可停药。
还有研究者推荐了「缓快缓」的撤药方法:甲强龙先撤 1/3,2 天后撤剩余的 1/2,3~5 天后再全撤,在有限的样本量(6 例)里均获得了很好的疗效,无反跳,临床上可以尝试。
激素减量速度没有规律性,徐慧敏等(2013)报告激素使用中位时间为 33 天,调整中位时间 6 天,因此推荐激素使用总时间 4~6 周。
预防比治疗更重要
RP 病因不明,治疗效果有限,预防为主。
临床相关高危因素如:肺受照射体积大、剂量高、女性、KPS 评分低、治疗前肺功能差、不吸烟、放疗前行化疗(应用博来霉素、吉西他滨等)、老年人和儿童。
首选激素治疗,辅以对症治疗,包括吸氧、祛痰和支气管扩张剂,保持呼吸道通畅,用氨磷汀放疗时保护肺。
虽然 RP 是非感染性的,但是常伴有肺部感染,因此抗生素预防、治疗感染也是必要的。没有感染时抗生素仅仅是预防用药,合并感染时应依药敏结果选择抗生素。
注:本文章来自网络,如有侵权请告知!我们会尽快删除!!!